【秘録】警察庁長官銃撃事件
お知らせ
FNNプライムオンラインplus無料会員登録
偽のメールにご注意下さい
政治スクエア
特集
番組発
最新ニュース
地域
LIVE
リポーター
検索
政治
国政・政策
地方政治
外交・安全保障
世論調査
選挙
特集
フジテレビ調査報道|スポットライト
緊迫 ウクライナ情勢
FNN・産経合同世論調査
平井文夫の言わねばならぬ リターンズ
もっと 投票の前に
報道カメラマンの記録
社会
事件・事故・裁判
気象・災害
新型コロナ
皇室
訃報
特集
気になる!newsクリップ
追跡ニュース 記者の目
さあどうする? 全国各所「困った」事情
フジテレビ調査報道|スポットライト
追悼・・・この人の生きた道
戦後80年 いま、平和ですか
経済
ビジネス
マネー
スタートアップ
テクノロジー
乗り物
特集
鉄道トレンディ
データは語る!「ニッポン経済」
フジテレビ調査報道|スポットライト
世界に負けない教育
「気候変動列島」どうする“食”?どうなる“住”?
報道カメラマンの記録
国際
アメリカ
カナダ
中南米
アジア
ヨーロッパ
中東
オセアニア
アフリカ
特集
フジテレビ調査報道|スポットライト
木村 太郎のNon Fake News
緊迫 ウクライナ情勢
War&Peace 〜今、そこにある“クライシス”最前線〜
隣国は何をする人ぞ
報道カメラマンの記録
ライフ
ネットで話題
生き物
教育・子育て
医療・健康
グルメ
防災
環境
SDGs
特集
“私”を生きる ~live My life~
データは語る!「ニッポン経済」
“ご当地グルメ” 仰天おいしい列島
フジテレビ調査報道|スポットライト
お助け!みんなの“ライフハック”
世界に負けない教育
エンタメ
芸能
文化
特集
プライムオンライン ライブラリー
追悼・・・この人の生きた道
なり手がいない…残したい日本の技術
報道カメラマンの記録
話題のバズアート
わくわく文房具
スポーツ
野球
サッカー
フィギュアスケート
バレーボール
バスケットボール
オリンピック
特集
大谷翔平 速報・ニュース
Formula1®(F1™)
フジスケ@リンクサイド
すぽると!
春高バレー
報道カメラマンの記録
コラム
あの会見まとめ読み
インタビュー
特集
プライムオンライン ライブラリー
“私”を生きる ~live My life~
木村 太郎のNon Fake News
戦後80年 いま、平和ですか
平井文夫の言わねばならぬ リターンズ
アナウンサーのライフワーク
都道府県
北海道
青森
岩手
宮城
秋田
山形
福島
茨城
栃木
群馬
埼玉
千葉
東京
神奈川
新潟
富山
石川
福井
山梨
長野
岐阜
静岡
愛知
三重
滋賀
京都
大阪
兵庫
奈良
和歌山
鳥取
島根
岡山
広島
山口
徳島
香川
愛媛
高知
福岡
佐賀
長崎
熊本
大分
宮崎
鹿児島
沖縄
特集
ニッポン全国 注目スポット
気になる!newsクリップ
さあどうする? 全国各所「困った」事情
“ご当地グルメ” 仰天おいしい列島
これって地元だけ?
戦後80年 いま、平和ですか
会員登録
ログイン
マイページ
ログアウト
Live
【ライブ】参議院予算委員会 主に中東情勢に伴う原油確保など質疑
トップ
特集
名医のいる相談室
名医のいる相談室
医療の正しい知識を有する名医たちが健康に関するお悩みを解決します
過労やストレスで重くなる更年期障害…不調を乗り越えるポイントや閉経で起こりうる病気を専門医が解説
関口由紀
ライフ
2022年5月25日
片頭痛に20年ぶりの新薬「レイボー」 副作用が少なく日常生活に支障なし? 発作の予防と緩和法を専門医が解説
來村昌紀
ライフ
2022年5月19日
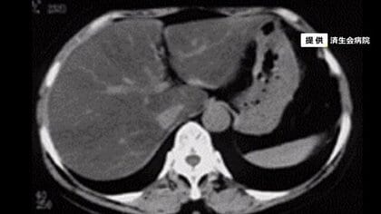
「肝臓」脂肪が急増…コロナ禍の運動不足も原因?放置すればがんの恐れも 予防法をご紹介【福井発】
福井テレビ
ライフ
2022年5月15日
自覚症状がない“脂質異常症” 放置すれば心筋梗塞や脳梗塞の恐れも…すぐ実践できる食事と運動療法を専門医が解説
石垣泰
ライフ
2022年5月12日
職場のストレスによる適応障害…3つの原因と発症しやすい人の性格について精神科医が解説
永野泰寛
ライフ
2022年5月6日
帯状疱疹は発症3日以内が肝心!失明や顔面神経マヒの恐れも…ワクチンで予防可能 症状や後遺症を専門医が解説
長谷川耕平
ライフ
2022年4月27日
胃潰瘍の9割以上はピロリ菌が原因 春はストレスも加わり増加傾向に…予防と治療法を専門医が解説
髙橋公一
ライフ
2022年4月21日
日本人の5人に1人が悩む“不眠症”…その治療法と睡眠の質を上げるポイントを専門医が解説
出口亮
ライフ
2022年4月12日
「ステルスオミクロン株」が増加中…症状・感染力・ワクチンの有効性などオミクロン株との違いを専門医が解説
宮本雄気
社会
2022年4月7日
「貧血」は重い病気のサインかも…3つの原因と改善ポイントを消化器内科の専門医が解説
鈴木千衣子
ライフ
2022年4月1日
マスク生活で悪化…「顎関節症」の原因や治療法を歯科口腔外科医が解説 鏡の前でできる見分け方も伝授
宮本日出
ライフ
2022年3月25日
命に関わる病気だった「喘息」の死亡者が減少…発症の原因や最新治療薬について呼吸器専門医が解説
田中希宇人
ライフ
2022年3月16日
生理不順やうつ病などあらゆる病気のもととなる“冷え症” 効率的な入浴法や体質改善法を専門医が解説
川嶋朗
ライフ
2022年3月11日
6人に1人が発症する「ドライアイ」 悪化すると視機能障害も...毎日できる予防法を眼科医が解説
清水映輔
ライフ
2022年3月3日
コロナ禍で「梅毒」の感染者が過去最多に…増加の理由と性感染症の症状&治療法を専門医が解説
窪田徹矢
ライフ
2022年2月25日
「脳出血」の主な原因は高血圧…“歯周病”との関係も最近注目 初期症状や予防法を専門医が解説
高木正仁
ライフ
2022年2月17日
オミクロン株の潜伏期間は3日程度、風邪との違いは「高熱」…従来株との違いと感染防止策を専門医が解説
水野泰孝
ライフ
2022年2月9日
コロナ禍で注意…手荒れを悪化させない「手洗い・炊事」のポイント 保湿クリームの正しい塗り方を皮膚科医が解説
葉山愛弥
ライフ
2022年2月4日
アルコール消毒薬が効きにくい「ノロウイルス」&合併症に注意「インフルエンザ」…予防法を専門医が解説
白野倫徳
ライフ
2022年1月28日
パーキンソン病は早期発見と早期治療で改善する…進化する画像診断と治療法を脳神経内科の専門医が解説
髙橋良輔
ライフ
2022年1月20日
1
2
3
4
5
×