口の中を鏡で見ると、上あごや、下あごの歯茎の部分に「出っ張り」が…。
何だこれ?こんなの前からあったかな?もしかして悪い病気では?…そんな不安を抱いたことがある人はいるだろうか。もしくは久々に歯医者に行って、その存在を指摘され、初めて気付いた人もいるかも知れない。
この出っ張りの正体は、ほとんどの場合が正常の「骨」。必ずしも病気ではなく、何らかの原因で骨が大きくなりすぎる「外骨(がいこつ)症」と呼ばれる症状だ。
一体どんな症状なのか。がんなどの病気との見分け方、注意すべきこと、その原因とは。
公益社団法人・日本口腔外科学会の池邉哲郎 理事長(福岡歯科大学教授)と、岸本裕充 常任理事(兵庫医科大学教授)に詳しく話を聞いた。
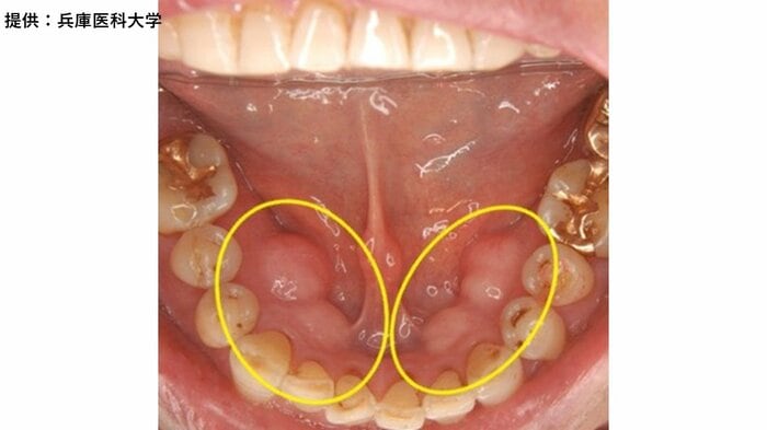
※記事内には外骨症の症状が写った画像があります。ご注意ください。
どこにどんな形でできる?症状は
両医師によると、口の中の出っ張りの正体が腫瘍などではなく、粘膜の下にある「骨」だった場合、よく見られる部位や形状などの特徴は、以下のようになっているという。
【よく見られる部位】
・上あごの天井部分の真ん中…「口蓋(こうがい)隆起」と呼ばれる
・下の歯の内側の歯肉部(左右)…「下顎(かがく)隆起」と呼ばれる
・その他、下の歯の外側の歯肉部や、上の歯の内・外側の歯肉部にできる人もいる。左右対称に生じることが多い(特定の名称はなく、単に「骨隆起」と呼ばれることも)
【特徴】
・触ってみると硬い
・痛みがない
・表面の粘膜はツルッとしていてなめらか
・小さな出っ張りが重なって、モコモコと膨らんだように見えることもある
日本でどれくらいの患者がいるのか、といった明確なデータは現状見当たらないそうだが、池邉理事長は「別の疾患で来院された患者にも、しばしば見られます」と明かす。実感として、外骨症の症状が見られる人は少なくないとのことだ。
なお、通常は子どもになく、気がつかないうちに徐々に大きくなることから、たまたま鏡を見たり舌で触ったり、歯科医に指摘されて気付く人が多いという。そして中身は骨であるが故に、自然に小さくなったり、なくなったりすることはない。
池邉理事長は「食事や発音を妨げるほど大きくなるものはほとんどない」とし、岸本常任理事も「左右の下顎隆起がくっつきそうになるくらい増大するケースもまれにあるが、高さが1センチを超えるほど大きくなることは通常めったにない」と話す。
歯肉の外側に出来た人の中には、顔にも変化が出てしまうのではと気になる人もいるかもしれないが、両医師ともに“顔のサイズが変化するほどのものにはならない”とのことだ。
がんなど他の病気との見分け方・注意が必要な症状は
外骨症の特徴などは分かったが、心配なのは腫瘍の可能性だろう。
しかし、この特徴や発生部位などから、池邉理事長は「口腔(こうくう)がんとの見分けは歯科医師や口腔外科専門医であれば容易です。骨のように硬くて痛みがなく、表面が他の粘膜のようにツルッとして滑らかであれば外骨症でしょう」と説明する。
ただ、上あごの天井の真ん中ではなく左右どちらかにずれている場合は「唾液腺腫瘍」、歯肉の左右両側ではなく片方だけで大きさも大きい場合は「骨腫(良性腫瘍)」が疑われるとのことだ。「左右どちらかに片寄るなど、外骨症の特徴と異なる部分が少しでも見受けられるようであれば、腫瘍との鑑別のため、かかりつけ歯科医もしくは口腔外科専門医の受診をおすすめします」という。
一方「外骨症」の場合でも、小さければ心配はいらないが、ある程度大きくなってくると注意が必要だ。邪魔になって入れ歯が作りにくい、装着しづらいといった可能性があるほか、熱いものや尖ったものなど、食材によってはヤケドを負ったり、傷ついたりすることがあるという。
池邉理事長は「何度も傷つくと表面が白く盛り上がって、外骨症を覆う粘膜に“白板(はくばん)症”という別の病気が生じることがある」と指摘する。「白板症」とは頬の粘膜や舌、時には歯肉にできる白い病変で、こすっても取れず、痛みもないが、将来がんになる可能性もあるという。
「外骨症」による出っ張りが要因となって白板症にまで進展してしまう例はごくまれだそうだが、もし同様の症状が現れた場合は口腔外科を受診してほしい。
予防は困難?「歯ぎしり」「食いしばり」がある人は要注意
「外骨症」の正体や注意点が分かり、小さい場合はあまり心配しなくていいことは分かった。
そもそも、どうして「外骨症」になってしまうのだろうか。食事中でもないのに上下の歯を垂直に強く噛んでしまう「食いしばり」や「噛みしめ」、就寝中に無意識に行ってしまう「歯ぎしり」の癖がある人に多い、という報告が数多くあるというのだ。
岸本常務理事は「筋トレをして筋肉が太くなるのと同様のイメージで、歯ぎしりなどによって、あごや歯を支える骨にかかる力を受けて、反応性に骨が膨らむのでは、と考えられている」と推測する。
ではマウスピースの装着など、食いしばりや歯ぎしりへの対策が外骨症の予防にもなるのだろうか。残念ながら「その可能性はあるが、はっきりしていない」とのことだ。現状予防は難しいとみられ、気付いた時点、特に何か支障が出た時点での対処が一般的と言えそうだ。
受診の目安は?除去手術はした方がいい?
特徴が異なる部分があれば、腫瘍かどうかハッキリさせるために、歯科医や口腔外科専門医を受診するのがおすすめだと紹介した。しかし外骨症であっても、もし出っ張りが大きくなって邪魔だと感じたり、発音しくいと自分で感じたりした場合は受診を検討するといいかもしれない。
除去する場合は局所麻酔か全身麻酔で、表面の粘膜を切開して広げた後、骨を割ったり削ったりして取り除き、粘膜を元通りに縫い合わせる。
ここで注意したいのが、外骨症は病気ではないため、除去する手術には、保険診療が適用されないこともあるということだ。
池邉理事長によると、入れ歯を作るために外骨症の切除が必要な場合は、保険診療ができるという。また、出っ張りが大きく発音しにくいなどの機能障害が疑われた場合や、腫瘍を否定できない場合は、外骨症ではなく「腫瘍」と診断して手術をするとのことだ。
岸本常任理事によると、将来的に義歯になることに備えて、中年くらいの患者が除去を希望する場合もあるという。ただ、除去してもまた骨が出てくることもあるそうだ。
一方で、「残しておく」という選択には意外なメリットが生まれることも。歯が欠損し、インプラントを埋め込む時に骨が不足することがあり、そこに外骨症で余っている自身の骨を移植できることもあるというのだ。

毎日何かを食べ、毎日歯磨きをしていても、自分の口の中がどうなっているのか、あまり意識を向けていない人も多いのではないだろうか。これを機に、一度チェックしてみてもいいかもしれない。
