パリオリンピック・パラリンピックまで、あと1年余り。岐阜・各務原市出身で、トヨタ自動車に所属する石田駆(かける)選手(24)は、陸上でパラリンピック出場を目指している。左肩に「人工関節」の障害を抱えながら、100メートルを10秒台で走る陸上ランナーだ。東京パラリンピックで5位だった悔しさをバネに、世界一を狙う。
パリパラリンピック出場を目指す

パラ陸上の日本代表で、トヨタ自動車に所属する石田駆選手(24)。

一見、障害は見えにくいが、左肩に傷跡がある。

石田駆選手:
この体だと自分は自覚し切って、そういう状態で生活と向き合っているので、今はやっぱりこれが当たり前だと思っているんですね
2023年6月、1年後に控えたパリパラリンピックの出場内定を勝ち取るために、パリで7月17日に行われる世界選手権に向けて、愛知・豊田市で練習に励んでいた。
スタートの練習になると、左手を使わずに体を支えていた。バランスを崩すことはないのか。

石田駆選手:
体を上げるときは良いんですけど、スタートして出てからですね。手をついて、この時は別に大丈夫なんですよ。いいんですけど、一歩目の着地がなかなか難しい

両手が使えない分、走り出しが安定しない。左腕に残る機能障害、そこには病気との戦いがあった。
5年前左腕に突然あらわれた“骨肉腫”

岐阜・各務原市出身の石田選手。

「かける」という名前の由来は、足の速い子に育ってほしいという両親の願いだった。

小さいころから走るのが好きで、高校時代にはインターハイにも出場した。

しかし大学に進学した矢先、当時19歳だった石田選手に異変が起きた。
石田駆選手:
部活をしていて、腕振りをしていてちょっとなんか違和感があって、見たらボコッと膨れているなと思って。病院に行ったら“骨肉腫”と診断されました
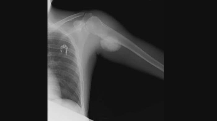
左腕に突然現れた腫瘍、骨のガン・骨肉腫だった。

骨の一部を切断し、悪性組織の周りを液体窒素で消滅させるという大手術は、13時間に及んだ。いま、肩には「人工関節」が入っている。

石田駆選手:
通院は半年に1回ですね、今日でちょうど5年目なので
5月30日、病院に向かう石田選手。手術から5年たった今でも経過観察は欠かせない。
岐阜大学病院の永野昭仁医師:
これで約5年ってことだよね
石田駆選手:
はい
永野昭仁医師:
今回の結果ですけど、特に今回問題なくてね、明らかな再発とかもないので、経過としてはいいです
発症した当初、左腕の切断も勧められた石田選手だが、片腕になる現実を受け入れられなかったという。
石田駆選手:
最悪の場合は、左腕切断だとか大きな障害が残ってしまう手術が必要だっていう診断結果だったので。本当に何もかも急すぎて
永野昭仁医師:
自分の骨をできるだけ残して、戻す方法にしようかって話になって。骨をごっそりとるよりは、危なくなる所が出る可能性があるので、再発のリスクは少し上がるかもという話で手術したんですよね
あと5年は必要だという経過観察。今でも再発のリスクと向き合っている。
手術後は新たなフォームで成長

手術後、石田選手には左腕に機能障害が残り、今もリハビリ治療を受けている。

石田駆選手:
「ベッドから一切動くな」って言われたときもあったんで
リハビリ担当の永田敏貫先生:
そうやね、あのときつらかったね
リハビリを担当した、永田先生。

永田敏貫先生:
そのときは精神的にも、まだ障害を受容、受け入れらるかどうかっていうのも大きいし
石田駆選手:
永田先生が病棟に来て、僕のリハビリしに来てくれたってだけでもストレス解消
1カ月半の入院生活。救ってくれたのは、陸上部の仲間の存在だった。

石田駆選手:
退院して同級生たちの試合を見に行ったりした時ですね。その姿を見て、自分やっぱり「こんなんで陸上やめるの嫌だな」って思ったのが、やっぱり大きなきっかけでしたね
手術から半年で競技へ復帰。それでも、以前とは違う自分の体に戸惑いもあった。

石田駆選手:
実際、左腕を振れるのってこれぐらいなんですよ、可動域ですね。後ろにほとんど行かないので…
左右非対称になった体、右腕に比べると可動域の狭い左腕。

弱点を補うために石田選手が取り組んだのは…。
石田駆選手:
左右バランスよく振ることに意味があると思っているので、肩甲骨を内側に入れる感じ
左の肩甲骨を動かして、左右のバランスをとっていた。

石田駆選手:
肩甲骨周りをうまいこと走りのリズムに合わせて振れるようになったっていうフォームですね
東京パラで得た自信と次の目標

走りのフォームを試行錯誤し、手術から3年たった2021年、東京パラリンックに出場した。
石田駆選手:
国際大会に出るっていうだけでもうれしかった。自分が病気をしたことをポジティブに捉えながら、自分だったら何ができるかとか、何か新しい挑戦したいなって考えた時に、パラリンピックの舞台だった
5位で終わったパラリンピックだが、世界での経験は、石田選手のさらなる可能性につながっていた。
2023年4月に行われた愛知パラでは、追い風参考記録ながら10秒88の好タイム。2023年6月には自己ベスト10秒85をマークするなど、今では病気になる前の自分を大きく越えることができた。
石田駆選手:
東京パラリンピックで5位だったときも、しっかり次はメダル取るっていう目標があって、東京パラリンピックで負けた選手に勝つつもりで臨みたいと思っているんです
次のパラリンピックこそ、世界で勝つために。石田選手は7月17日、パラリンピックの出場権がかかったパリでの世界選手権に出場。4位以内に入ればパラリンピック出場内定だったが、惜しくも6位だった。
2023年7月13日放送
(東海テレビ)
